|
Background: |
Modulates negatively AKT-mediated GSK3B signaling (PubMed:21323578, PubMed:22155408). Induces CTNNB1 'Ser-33' phosphorylation and degradation through the suppression of the inhibitory 'Ser-9' phosphorylation of GSK3B, which represses the function of the APC:CTNNB1:GSK3B complex and the interaction with CDH1/E-cadherin in adherent junctions (PubMed:25169422). Plays a role in the regulation of cell cycle and cell adhesion (PubMed:25169422, PubMed:25450365). Has an inhibitory role on AR-signaling pathway through the induction of receptor proteosomal degradation (PubMed:22155408). |
|
Applications: |
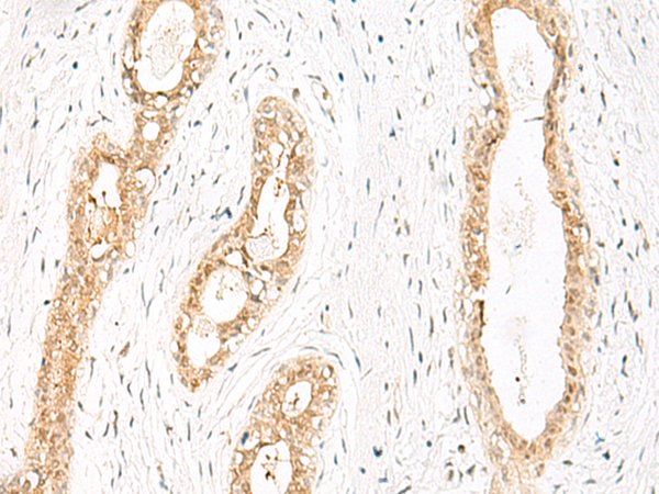
ELISA, IHC |
|
Name of antibody: |
JPT1 |
|
Immunogen: |
Fusion protein of human JPT1 |
|
Full name: |
Jupiter microtubule associated homolog 1 |
|
Synonyms: |
HN1; ARM2; HN1A |
|
SwissProt: |
Q9UK76 |
|
ELISA Recommended dilution: |
5000-10000 |
|
IHC positive control: |
Human thyroid cancer and Human cervical cancer |
|
IHC Recommend dilution: |
30-150 |

購(gòu)物車
幫助
021-54845833/15800441009
