|
Background: |
This is the receptor for stem cell factor (mast cell growth factor). It has a tyrosine-protein kinase activity. Binding of the ligands leads to the autophosphorylation of KIT and its association with substrates such as phosphatidylinositol 3-kinase (Pi3K) |
|
Applications: |
WB, IHC |
|
Name of antibody: |
KIT (phospho-Tyr936) |
|
Immunogen: |
Synthetic peptide of human KIT (phospho-Tyr936) |
|
Full name: |
v-kit Hardy-Zuckerman 4 feline sarcoma viral oncogene homolog (phospho-Tyr936) |
|
Synonyms: |
PBT; SCFR; C-Kit; CD117 |
|
SwissProt: |
P10721 |
|
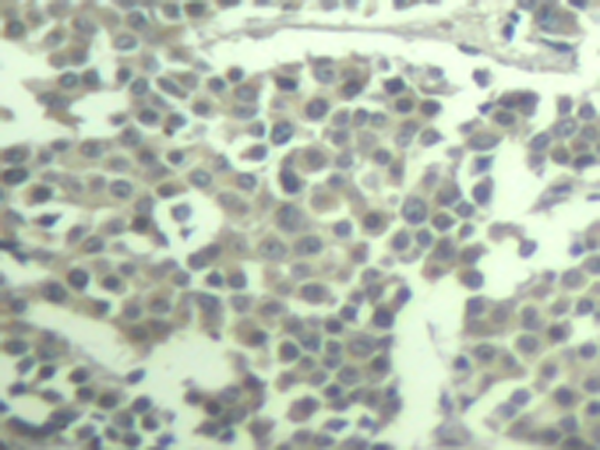
IHC positive control: |
Human breast carcinoma |
|
IHC Recommend dilution: |
50-100 |
|
WB Predicted band size: |
120 kDa; 145 kDa |
|
WB Positive control: |
Hela cells treated with SCF |
|
WB Recommended dilution: |
500-1000 |


購物車
幫助
021-54845833/15800441009
