|
Background: |
Leucine-rich repeats and immunoglobulin-like domains protein 1 is a protein that in humans is encoded by the LRIG1 gene. It encodes a transmembrane protein that has been shown to interact with receptor tyrosine kinases of the EGFR-family , MET and RET. Acts as a feedback negative regulator of signaling by receptor tyrosine kinases, through a mechanism that involves enhancement of receptor ubiquitination and accelerated intracellular degradation. |
|
Applications: |
ELISA, IHC |
|
Name of antibody: |
LRIG1 |
|
Immunogen: |
Synthetic peptide of human LRIG1 |
|
Full name: |
leucine-rich repeats and immunoglobulin-like domains 1 |
|
Synonyms: |
LIG1, LIG-1 |
|
SwissProt: |
Q96JA1 |
|
ELISA Recommended dilution: |
1000-5000 |
|
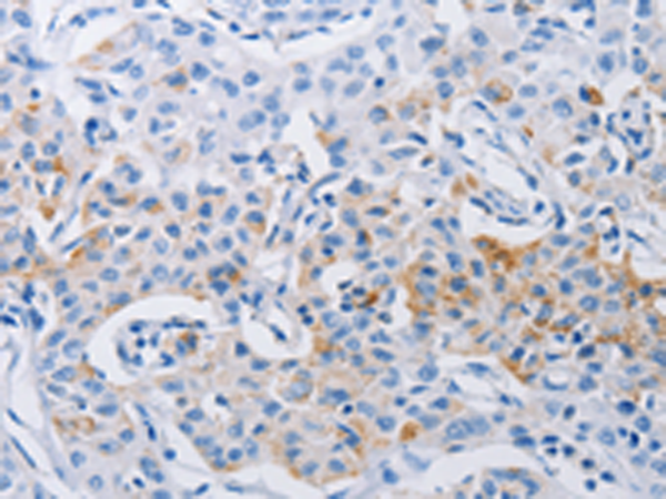
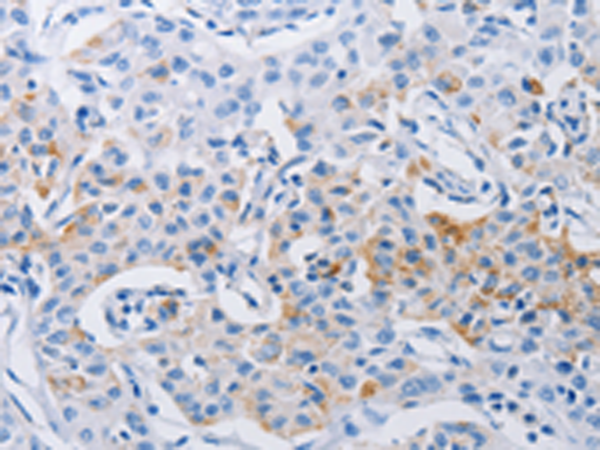
IHC positive control: |
Human lung cancer |
|
IHC Recommend dilution: |
50-200 |

購(gòu)物車
幫助
021-54845833/15800441009
