|
Background: |
The protein encoded by this gene belongs to the mitochondrial leucine/tyrosine/arginine motif family of proteins. Proteins of this family are short polypeptides that contain a leucine/tyrosine/arginine motif near the N-terminus. This gene is widely expressed with high levels in omental adipose tissue of obese individuals. In adipose tissue, the protein is localized to the nucleus where it promotes preadipocyte proliferation and lowers the rate of apoptosis to regulate adipose tissue homeostasis. Overexpression of this gene in adipocytes causes abnormal mitochondrial morphology and mitochondrial dysfunction. Alternative splicing results in multiple transcript variants. |
|
Applications: |
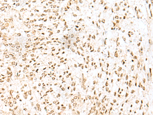
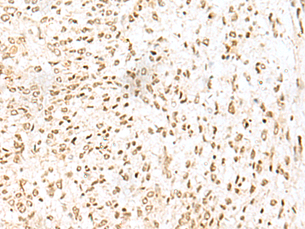
ELISA, IHC |
|
Name of antibody: |
LYRM1 |
|
Immunogen: |
Fusion protein of human LYRM1 |
|
Full name: |
LYR motif containing 1 |
|
Synonyms: |
A211C6.1 |
|
SwissProt: |
O43325 |
|
ELISA Recommended dilution: |
5000-10000 |
|
IHC positive control: |
Human thyroid cancer and Human tonsil |
|
IHC Recommend dilution: |
40-200 |



購物車
幫助
021-54845833/15800441009
