|
Background: |
This gene encodes a neuroendocrine peptide that is widely expressed in the central and peripheral nervous systems and also the gastrointestinal tract, pancreas, adrenal gland and urogenital tract. The encoded protein is a precursor that is proteolytically processed to generate two mature peptides: galanin and galanin message-associated peptide (GMAP). Galanin has diverse physiological functions including nociception, feeding and energy homeostasis, osmotic regulation and water balance. GMAP has been demonstrated to possess antifungal activity and hypothesized to be part of the innate immune system. |
|
Applications: |
ELISA, IHC |
|
Name of antibody: |
GAL |
|
Immunogen: |
Synthetic peptide of human GAL |
|
Full name: |
galanin/GMAP prepropeptide |
|
Synonyms: |
GALN; GLNN; GMAP; GAL-GMAP |
|
SwissProt: |
P22466 |
|
ELISA Recommended dilution: |
5000-10000 |
|
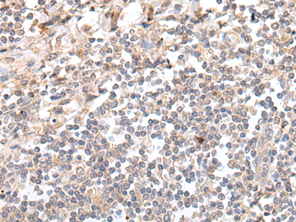
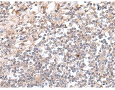
IHC positive control: |
Human cervical cancer and human tonsil |
|
IHC Recommend dilution: |
25-100 |

購物車
幫助
021-54845833/15800441009
