中文名稱: 兔抗GAS2L3多克隆抗體
宿 主: Rabbit
|
Background: |
Gas2L3 (growth arrest-specific 2 like 3) is a 694 amino acid protein that contains one calponin-homology (CH) domain and may function in a similar manner to Gas2. The gene encoding Gas2L3 maps to human chromosome 12, which encodes over 1,100 genes and comprises approximately 4.5% of the human genome. Cytoskeletal linker protein. May promote and stabilize the formation of the actin and microtubule network. |
|
Applications: |
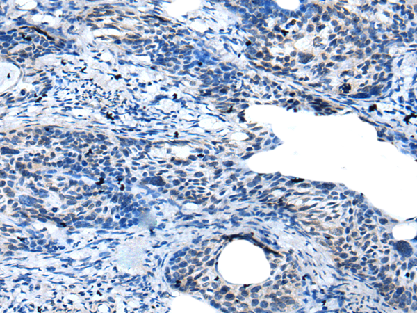
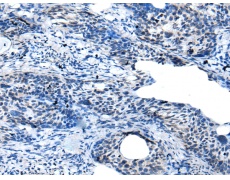
ELISA, IHC |
|
Name of antibody: |
GAS2L3 |
|
Immunogen: |
Synthetic peptide of human GAS2L3 |
|
Full name: |
growth arrest specific 2 like 3 |
|
Synonyms: |
G2L3 |
|
SwissProt: |
Q86XJ1 |
|
ELISA Recommended dilution: |
5000-10000 |
|
IHC positive control: |
Human cervical cancer |
|
IHC Recommend dilution: |
10-50 |

購(gòu)物車
幫助
021-54845833/15800441009
