中文名稱:兔抗CHRNA9多克隆抗體
|
Background: |
This gene is a member of the ligand-gated ionic channel family and nicotinic acetylcholine receptor gene superfamily. It encodes a plasma membrane protein that forms homo- or hetero-oligomeric divalent cation channels. This protein is involved in cochlea hair cell development and is also expressed in the outer hair cells (OHCs) of the adult cochlea. |
|
Applications: |
ELISA, WB, IHC |
|
Name of antibody: |
CHRNA9 |
|
Immunogen: |
Synthetic peptide of human CHRNA9 |
|
Full name: |
cholinergic receptor nicotinic alpha 9 subunit |
|
Synonyms: |
NACHRA9; HSA243342 |
|
SwissProt: |
Q9UGM1 |
|
ELISA Recommended dilution: |
5000-10000 |
|
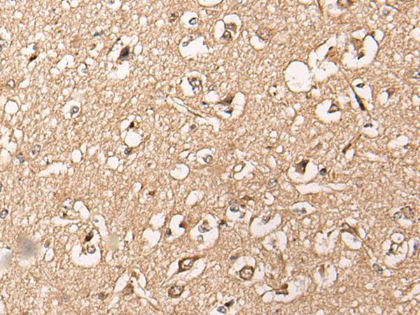
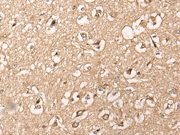
IHC positive control: |
Human brain |
|
IHC Recommend dilution: |
40-200 |
|
WB Predicted band size: |
55 kDa |
|
WB Positive control: |
Human cerebrum tissue and Human cerebella tissue lysates |
|
WB Recommended dilution: |
200-1000 |

購物車
幫助
021-54845833/15800441009
