中文名稱:兔抗CINP多克隆抗體
|
Background: |
The protein encoded by this gene is reported to be a component of the DNA replication complex as well as a genome-maintenance protein. It may interact with proteins important for replication initiation and has been shown to bind chromatin at the G1 phase of the cell cycle and dissociate from chromatin with replication initiation. It may also serve to regulate checkpoint signaling as part of the DNA damage response. Alternative splicing results in multiple transcript variants. |
|
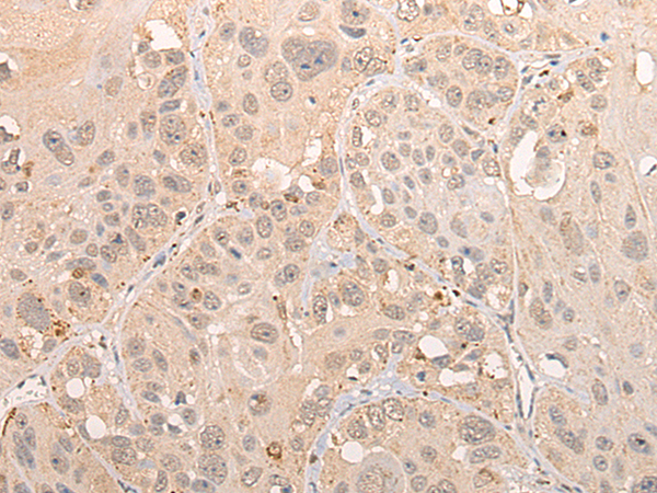
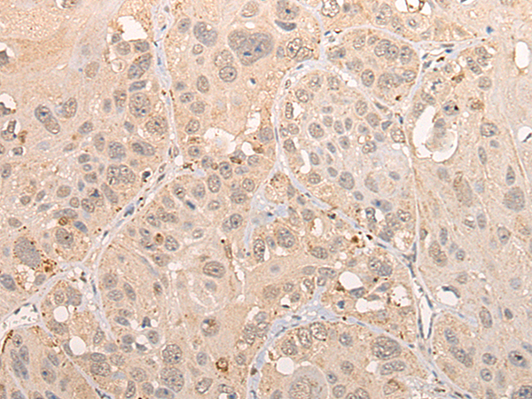
Applications: |
ELISA, IHC |
|
Name of antibody: |
CINP |
|
Immunogen: |
Full length fusion protein |
|
Full name: |
cyclin dependent kinase 2 interacting protein |
|
SwissProt: |
Q9BW66 |
|
ELISA Recommended dilution: |
5000-10000 |
|
IHC positive control: |
Human lung cancer and Human prostate cancer |
|
IHC Recommend dilution: |
25-100 |
購物車
幫助
021-54845833/15800441009
