中文名稱:兔抗CITED2多克隆抗體
|
Background: |
The protein encoded by this gene inhibits transactivation of HIF1A-induced genes by competing with binding of hypoxia-inducible factor 1-alpha to p300-CH1. Mutations in this gene are a cause of cardiac septal defects. Alternatively spliced transcript variants encoding multiple isoforms have been observed for this gene. |
|
Applications: |
ELISA, IHC |
|
Name of antibody: |
CITED2 |
|
Immunogen: |
Synthetic peptide of human CITED2 |
|
Full name: |
Cbp/p300 interacting transactivator with Glu/Asp rich carboxy-terminal domain 2 |
|
Synonyms: |
ASD8; MRG1; VSD2; MRG-1; P35SRJ |
|
SwissProt: |
Q99967 |
|
ELISA Recommended dilution: |
5000-10000 |
|
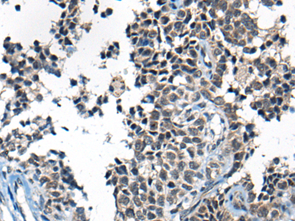
IHC positive control: |
Human ovarian cancer |
|
IHC Recommend dilution: |
25-100 |
購物車
幫助
021-54845833/15800441009
