|
Background: |
This gene encodes a member of the claudin family. Claudins are integral membrane proteins and components of tight junction strands. Tight junction strands serve as a physical barrier to prevent solutes and water from passing freely through the paracellular space between epithelial or endothelial cell sheets, and also play critical roles in maintaining cell polarity and signal transductions. |
|
Applications: |
ELISA, WB, IHC |
|
Name of antibody: |
CLDN25 |
|
Immunogen: |
Synthetic peptide of human CLDN25 |
|
Full name: |
claudin 25 |
|
SwissProt: |
C9JDP6 |
|
ELISA Recommended dilution: |
2000-5000 |
|
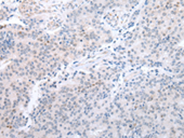
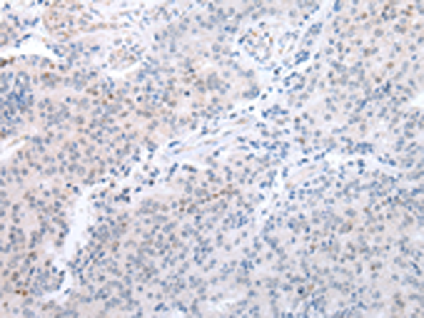
IHC positive control: |
Human ovarian cancer and Human esophagus cancer |
|
IHC Recommend dilution: |
25-100 |
|
WB Predicted band size: |
25 kDa |
|
WB Positive control: |
Human normal lung tissue |
|
WB Recommended dilution: |
500-2000 |

購物車
幫助
021-54845833/15800441009
