中文名稱:兔抗CLEC1A多克隆抗體
|
Background: |
This gene encodes a member of the C-type lectin/C-type lectin-like domain (CTL/CTLD) superfamily. Members of this family share a common protein fold and have diverse functions, such as cell adhesion, cell-cell signalling, glycoprotein turnover, and roles in inflammation and immune response. The encoded protein may play a role in regulating dendritic cell function. Alternative splice variants have been described but their biological nature has not been determined. This gene is closely linked to other CTL/CTLD superfamily members on chromosome 12p13 in the natural killer gene complex region. |
|
Applications: |
ELISA, IHC |
|
Name of antibody: |
CLEC1A |
|
Immunogen: |
Fusion protein of human CLEC1A |
|
Full name: |
C-type lectin domain family 1, member A |
|
Synonyms: |
CLEC1 |
|
SwissProt: |
Q8NC01 |
|
ELISA Recommended dilution: |
2000-5000 |
|
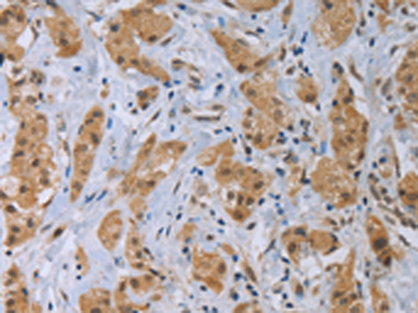
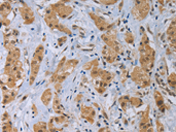
IHC positive control: |
Human breast cancer and Human thyroid cancer |
|
IHC Recommend dilution: |
50-200 |
購(gòu)物車
幫助
021-54845833/15800441009
