中文名稱:兔抗CLUL1多克隆抗體
|
Background: |
CLUL1 is a retina-specific clusterin-like protein which shows nearly 25% identity to clusterin at the protein level. It is expressed specifically in cone photoreceptor cells. |
|
Applications: |
ELISA, IHC |
|
Name of antibody: |
CLUL1 |
|
Immunogen: |
Fusion protein of human CLUL1 |
|
Full name: |
clusterin like 1 |
|
Synonyms: |
RA337M |
|
SwissProt: |
Q15846 |
|
ELISA Recommended dilution: |
5000-10000 |
|
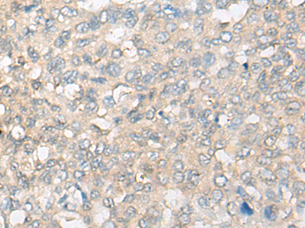
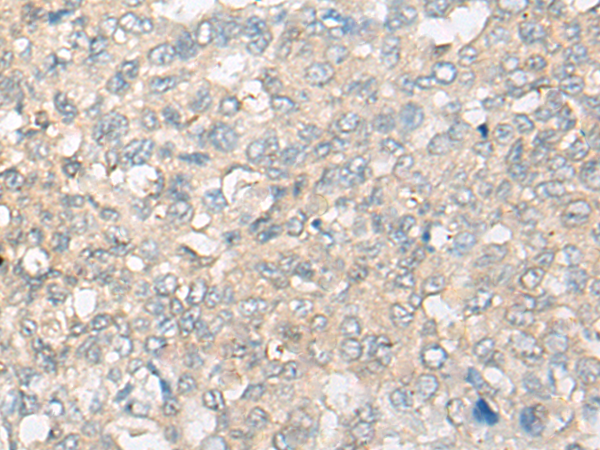
IHC positive control: |
Human liver cancer |
|
IHC Recommend dilution: |
20-100 |
購物車
幫助
021-54845833/15800441009
