中文名稱:兔抗CNN1多克隆抗體
|
Background: |
Thin filament-associated protein that is implicated in the regulation and modulation of smooth muscle contraction. It is capable of binding to actin, calmodulin, troponin C and tropomyosin. The interaction of calponin with actin inhibits the actomyosin Mg-ATPase activity (By similarity). |
|
Applications: |
ELISA, IHC |
|
Name of antibody: |
CNN1 |
|
Immunogen: |
Full length fusion protein |
|
Full name: |
calponin 1 |
|
Synonyms: |
SMCC; Sm-Calp; HEL-S-14 |
|
SwissProt: |
P51911 |
|
ELISA Recommended dilution: |
5000-10000 |
|
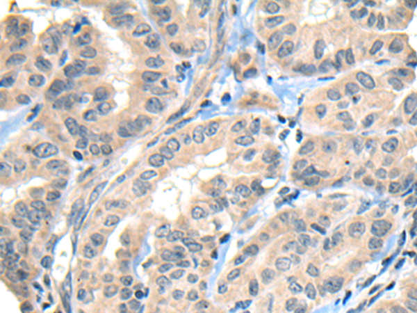
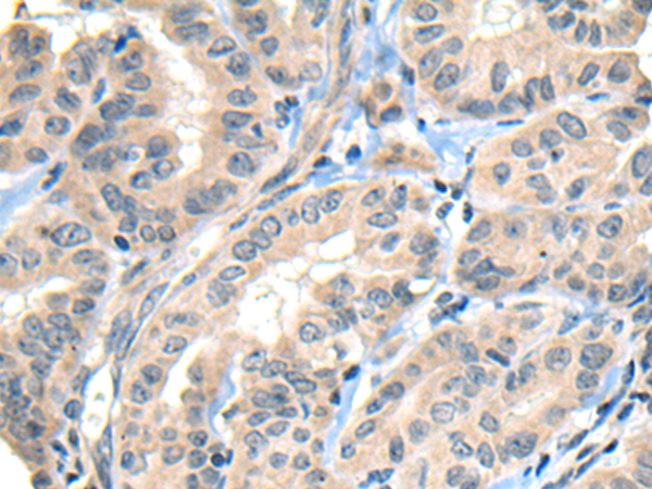
IHC positive control: |
Human thyroid cancer |
|
IHC Recommend dilution: |
30-150 |
購物車
幫助
021-54845833/15800441009
