中文名稱: 兔抗COX8A多克隆抗體
|
Background: |
The protein encoded by this gene is the terminal enzyme of the respiratory chain, coupling the transfer of electrons from cytochrome c to molecular oxygen, with the concomitant production of a proton electrochemical gradient across the inner mitochondrial membrane. In addition to 3 mitochondrially encoded subunits, which perform the catalytic function, the eukaryotic enzyme contains nuclear-encoded smaller subunits, ranging in number from 4 in some organisms to 10 in mammals. It has been proposed that nuclear-encoded subunits may be involved in the modulation of the catalytic function. This gene encodes one of the nuclear-encoded subunits. |
|
Applications: |
ELISA, IHC |
|
Name of antibody: |
COX8A |
|
Immunogen: |
Fusion protein of human COX8A |
|
Full name: |
cytochrome c oxidase subunit VIIIA (ubiquitous) |
|
Synonyms: |
COX, COX8, VIII, COX8L, COX8-2, VIII-L |
|
SwissProt: |
P10176 |
|
ELISA Recommended dilution: |
1000-5000 |
|
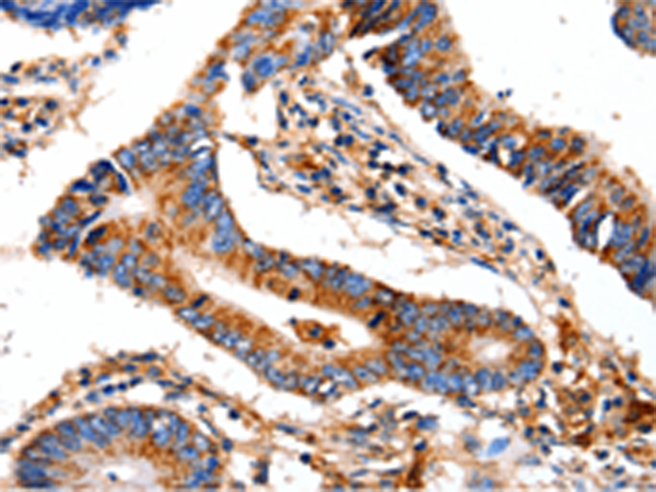
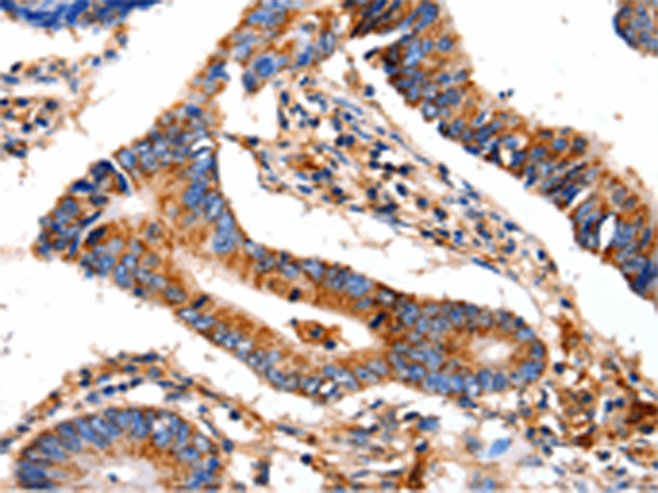
IHC positive control: |
Human colon cancer and Human gastric cancer |
|
IHC Recommend dilution: |
10-50 |
購(gòu)物車
幫助
021-54845833/15800441009
