中文名稱: 兔抗CREB3L2多克隆抗體
|
Background: |
Full length fusion protein |
|
Applications: |
ELISA, WB, IHC |
|
Name of antibody: |
CREB3L2 |
|
Immunogen: |
Full length fusion protein |
|
Full name: |
cAMP responsive element binding protein 3 like 2 |
|
Synonyms: |
BBF2H7 |
|
SwissProt: |
Q70SY1 |
|
ELISA Recommended dilution: |
5000-10000 |
|
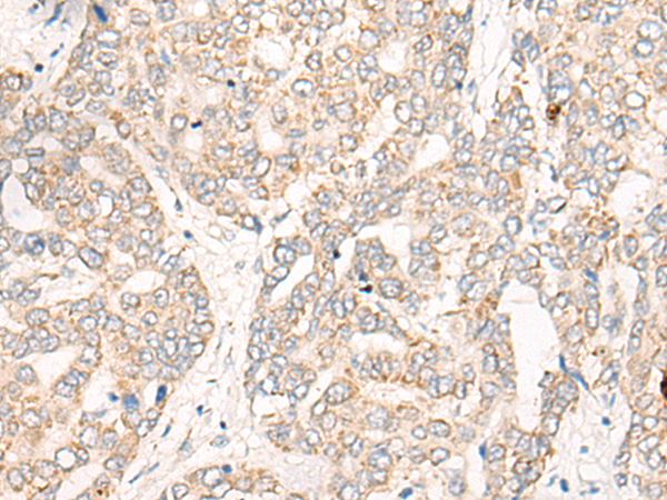
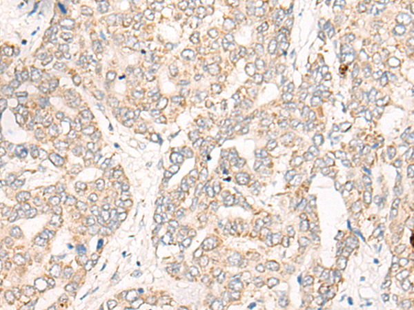
IHC positive control: |
Human liver cancer; |
|
IHC Recommend dilution: |
25-100 |
|
WB Predicted band size: |
57 kDa |
|
WB Positive control: |
HEPG2 and Hela cell lysates |
|
WB Recommended dilution: |
200-1000 |


購(gòu)物車(chē)
幫助
021-54845833/15800441009
