中文名稱(chēng):兔抗CTNNBL1多克隆抗體
|
Background: |
The protein encoded by this gene is a component of the pre-mRNA-processing factor 19-cell division cycle 5-like (PRP19-CDC5L) protein complex, which activates pre-mRNA splicing and is an integral part of the spliceosome. The encoded protein is also a nuclear localization sequence binding protein, and binds to activation-induced deaminase and is important for antibody diversification. This gene may also be associated with the development of obesity. Alternative splicing results in multiple transcript variants. A pseudogene of this gene has been defined on the X chromosome. |
|
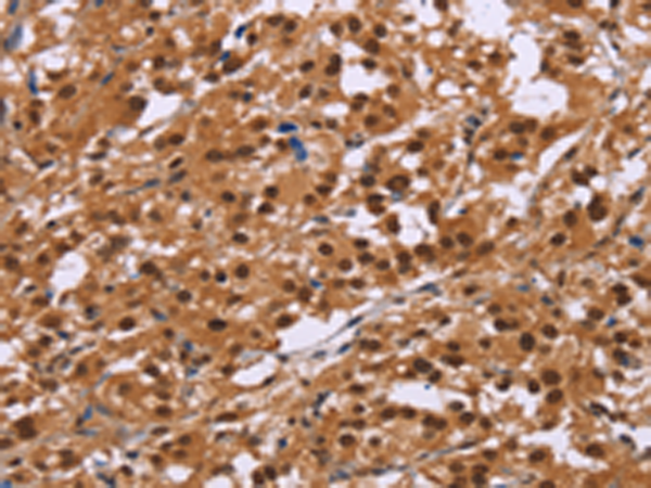
Applications: |
ELISA, IHC |
|
Name of antibody: |
CTNNBL1 |
|
Immunogen: |
Fusion protein of human CTNNBL1 |
|
Full name: |
catenin, beta like 1 |
|
Synonyms: |
NAP; P14L; PP8304; C20orf33; dJ633O20.1 |
|
SwissProt: |
Q8WYA6 |
|
ELISA Recommended dilution: |
2000-5000 |
|
IHC positive control: |
Human thyroid cancer and human ovarian cancer |
|
IHC Recommend dilution: |
50-200 |
購(gòu)物車(chē)
幫助
021-54845833/15800441009
