|
Background: |
This gene encodes a member of the peptidase S1 family. The encoded protein is a serum calcium-decreasing factor that has chymotrypsin-like protease activity. Alternatively spliced transcript variants have been observed, but their full-length nature has not been determined. |
|
Applications: |
ELISA, IHC |
|
Name of antibody: |
CTRC |
|
Immunogen: |
Fusion protein of human CTRC |
|
Full name: |
chymotrypsin C |
|
Synonyms: |
CLCR; ELA4 |
|
SwissProt: |
Q99895 |
|
ELISA Recommended dilution: |
5000-10000 |
|
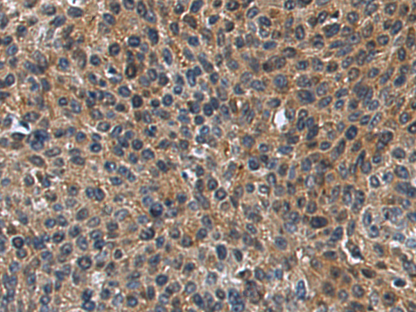
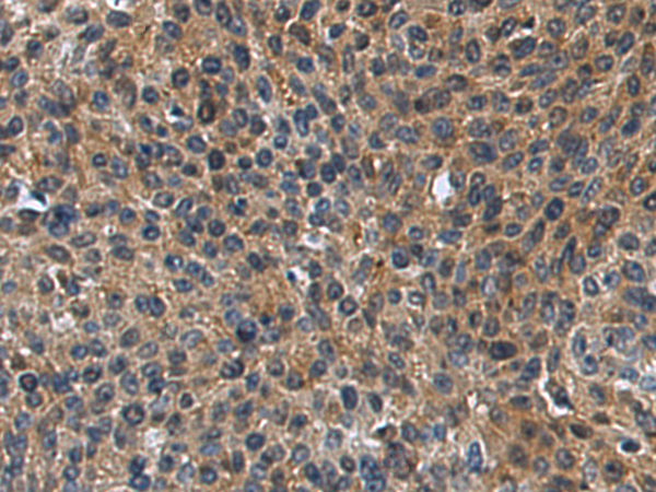
IHC positive control: |
Human cervical cancer |
|
IHC Recommend dilution: |
100-200 |
購(gòu)物車(chē)
幫助
021-54845833/15800441009
