|
Background: |
This gene is one of two genes which encode a protein similar to the Drosophila protein dachshund, a transcription factor involved in cell fate determination in the eye, limb and genital disc of the fly. The encoded protein contains two characteristic dachshund domains: an N-terminal domain responsible for DNA binding and a C-terminal domain responsible for protein-protein interactions. This gene is located on the X chromosome and is subject to inactivation by DNA methylation. The encoded protein may be involved in regulation of organogenesis and myogenesis, and may play a role in premature ovarian failure. Multiple transcript variants encoding different isoforms have been found for this gene. |
|
Applications: |
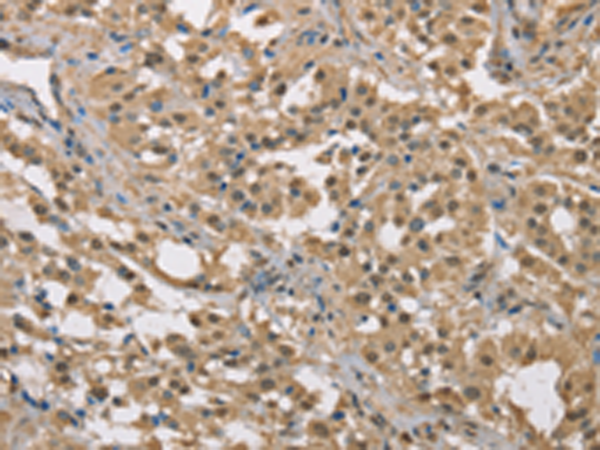
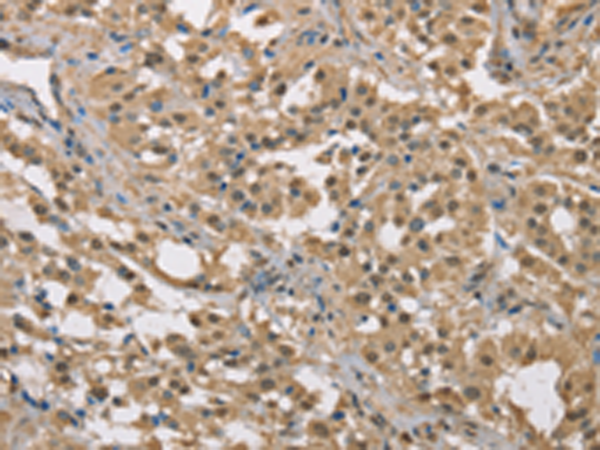
ELISA, IHC |
|
Name of antibody: |
DACH2 |
|
Immunogen: |
Fusion protein of human DACH2 |
|
Full name: |
dachshund family transcription factor 2 |
|
SwissProt: |
Q96NX9 |
|
ELISA Recommended dilution: |
2000-5000 |
|
IHC positive control: |
Human thyroid cancer and Human liver cancer |
|
IHC Recommend dilution: |
50-200 |
購物車
幫助
021-54845833/15800441009
