|
Background: |
Death-associated protein kinase 3 (DAPK3) induces morphological changes in apoptosis when overexpressed in mammalian cells. These results suggest that DAPK3 may play a role in the induction of apoptosis. |
|
Applications: |
WB, IHC |
|
Name of antibody: |
DAPK3(Ab-265) |
|
Immunogen: |
Synthesized non-phosphopeptide derived from human DAPK3 around the phosphorylation site of threonine 265 (R-M-T(p)-I-A). |
|
Full name: |
death-associated protein kinase 3 |
|
Synonyms: |
DLK; ZIP; ZIPK |
|
SwissProt: |
O43293 |
|
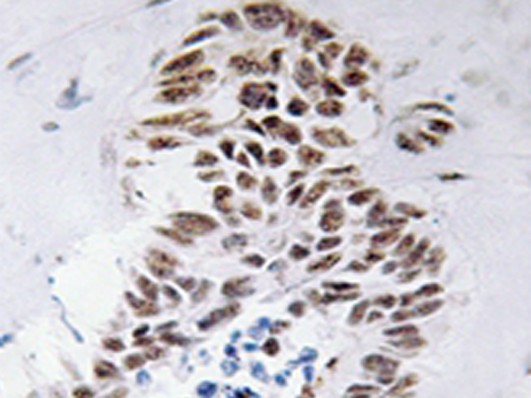
IHC positive control: |
Human lung carcinoma tissue |
|
IHC Recommend dilution: |
50-100 |
|
WB Predicted band size: |
53 kDa |
|
WB Positive control: |
Huvec cells lysate |
|
WB Recommended dilution: |
500-3000 |
購物車
幫助
021-54845833/15800441009
