中文名稱: 兔抗DBX1多克隆抗體
|
Background: |
Could have a role in patterning the central nervous system during embryogenesis. Has a key role in regulating the distinct phenotypic features that distinguish two major classes of ventral interneurons, V0 and V1 neurons. Regulates the transcription factor profile, neurotransmitter phenotype, intraspinal migratory path and axonal trajectory of V0 neurons, features that differentiate them from an adjacent set of V1 neurons (By similarity). |
|
Applications: |
ELISA, IHC |
|
Name of antibody: |
DBX1 |
|
Immunogen: |
Synthetic peptide of human DBX1 |
|
Full name: |
developing brain homeobox 1 |
|
SwissProt: |
A6NMT0 |
|
ELISA Recommended dilution: |
5000-10000 |
|
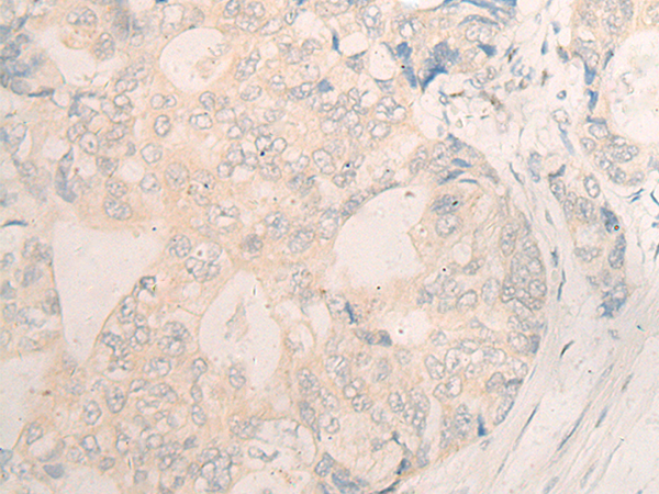
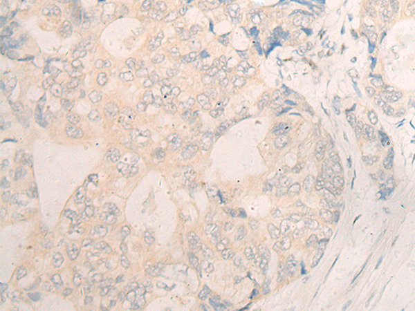
IHC positive control: |
Human liver cancer and Human gastric cancer |
|
IHC Recommend dilution: |
20-100 |

購物車
幫助
021-54845833/15800441009
