|
Background: |
This antimicrobial gene encodes a secreted protein that is subsequently processed into mature peptides of distinct biological activities. The C-terminal peptide is constitutively expressed in sweat and has antibacterial and antifungal activities. The N-terminal peptide, also known as diffusible survival evasion peptide, promotes neural cell survival under conditions of severe oxidative stress. A glycosylated form of the N-terminal peptide may be associated with cachexia (muscle wasting) in cancer patients. Alternative splicing results in multiple transcript variants encoding different isoforms. |
|
Applications: |
ELISA, IHC |
|
Name of antibody: |
DCD |
|
Immunogen: |
Fusion protein of human DCD |
|
Full name: |
dermcidin |
|
Synonyms: |
PIF; AIDD; DSEP; HCAP; DCD-1 |
|
SwissProt: |
P81605 |
|
ELISA Recommended dilution: |
5000-10000 |
|
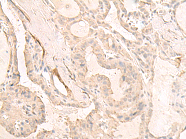
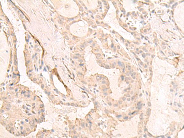
IHC positive control: |
Human thyroid cancer |
|
IHC Recommend dilution: |
30-150 |
購物車
幫助
021-54845833/15800441009
