|
Background: |
Defensins form a family of antimicrobial and cytotoxic peptides made by neutrophils. Defensins are short, processed peptide molecules that are classified by structure into three groups: alpha-defensins, beta-defensins and theta-defensins. All beta-defensin genes are densely clustered in four to five syntenic chromosomal regions. |
|
Applications: |
ELISA, IHC |
|
Name of antibody: |
DEFB112 |
|
Immunogen: |
Synthetic peptide of human DEFB112 |
|
Full name: |
defensin, beta 112 |
|
Synonyms: |
DEFB-12 |
|
SwissProt: |
Q30KQ8 |
|
ELISA Recommended dilution: |
2000-5000 |
|
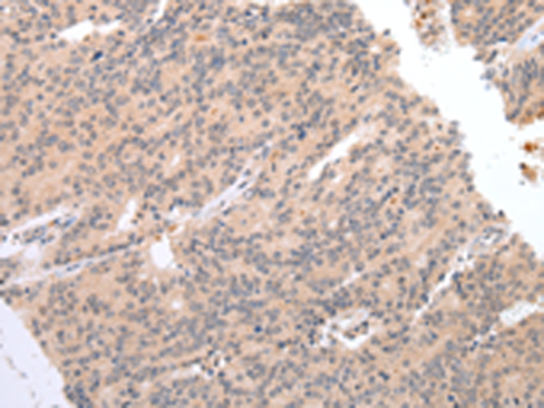
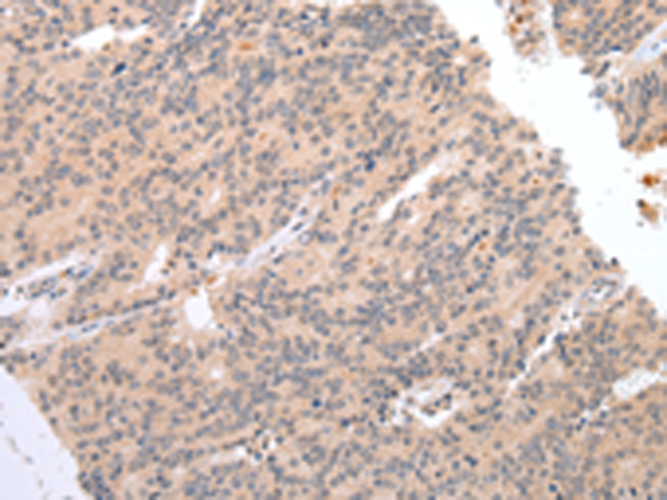
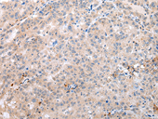
IHC positive control: |
Human ovarian cancer |
|
IHC Recommend dilution: |
20-100 |

購(gòu)物車
幫助
021-54845833/15800441009
