|
Background: |
Apoptosis, a major form of cell death, is an efficient mechanism for eliminating unwanted cells and is of central importance for development and homeostasis in metazoan animals. In mice, the death inducer-obliterator-1 gene is upregulated by apoptotic signals and encodes a cytoplasmic protein that translocates to the nucleus upon apoptotic signal activation. When overexpressed, the mouse protein induced apoptosis in cell lines growing in vitro. This gene is similar to the mouse gene and therefore is thought to be involved in apoptosis. Alternatively spliced transcripts have been found for this gene, encoding multiple isoforms. |
|
Applications: |
ELISA, IHC |
|
Name of antibody: |
DIDO1 |
|
Immunogen: |
Fusion protein of human DIDO1 |
|
Full name: |
death inducer-obliterator 1 |
|
Synonyms: |
BYE1; DIO1; DATF1; DIDO2; DIDO3; DIO-1; DATF-1; C20orf158; dJ885L7.8 |
|
SwissProt: |
Q9BTC0 |
|
ELISA Recommended dilution: |
2000-5000 |
|
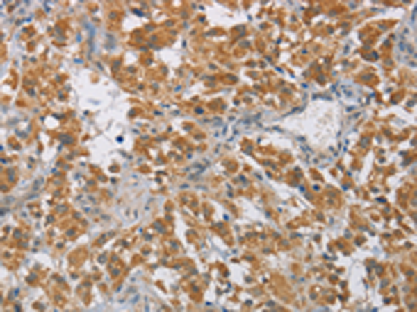
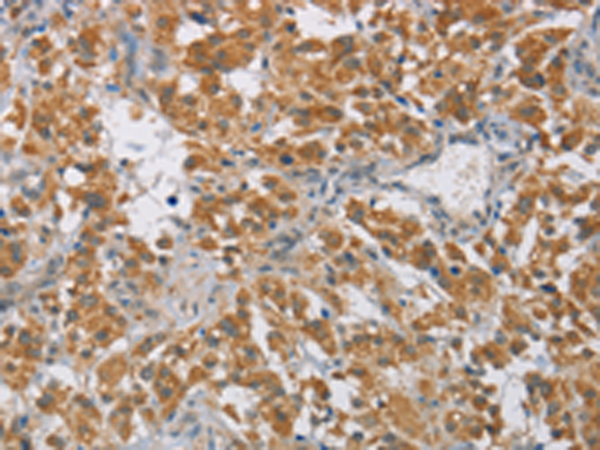
IHC positive control: |
Human thyroid cancer and human cervical cancer |
|
IHC Recommend dilution: |
50-200 |
購物車
幫助
021-54845833/15800441009
