|
Background: |
This gene encodes a member of the collapsin response mediator protein family. Collapsin response mediator proteins form homo- and hetero-tetramers and facilitate neuron guidance, growth and polarity. The encoded protein promotes microtubule assembly and is required for Sema3A-mediated growth cone collapse, and also plays a role in synaptic signaling through interactions with calcium channels. |
|
Applications: |
WB |
|
Name of antibody: |
DPYSL2(Phospho-Thr514) |
|
Immunogen: |
Peptide sequence around phosphorylation site of Threonine 514 (K-V-T(p)-P-A) derived from Human DRP-2. |
|
Full name: |
dihydropyrimidinase-like 2 |
|
Synonyms: |
DRP2; N2A3; CRMP2; DRP-2; ULIP2; CRMP-2; DHPRP2; ULIP-2 |
|
SwissProt: |
Q16555 |
|
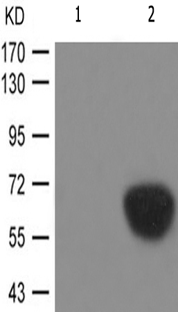
WB Predicted band size: |
62 kDa |
|
WB Positive control: |
Mouse brain tissue lysates |
|
WB Recommended dilution: |
500-1000 |
購物車
幫助
021-54845833/15800441009
