|
Background: |
The protein encoded by this gene is a calcium-dependent glycoprotein that is a member of the desmocollin subfamily of the cadherin superfamily. These desmosomal family members, along with the desmogleins, are found primarily in epithelial cells where they constitute the adhesive proteins of the desmosome cell-cell junction and are required for cell adhesion and desmosome formation. The desmosomal family members are arranged in two clusters on chromosome 18, occupying less than 650 kb combined. Mutations in this gene are a cause of hypotrichosis and recurrent skin vesicles disorder. The protein can act as an autoantigen in pemphigus diseases, and it is also considered to be a biomarker for some cancers. Alternative splicing of this gene results in multiple transcript variants. |
|
Applications: |
ELISA, IHC |
|
Name of antibody: |
DSC3 |
|
Immunogen: |
Synthetic peptide corresponding to a region derived from 830-846 amino acids of human DSC3 |
|
Full name: |
desmocollin 3 |
|
Synonyms: |
DSC; DSC1; DSC2; DSC4; CDHF3; HT-CP |
|
SwissProt: |
Q14574 |
|
ELISA Recommended dilution: |
5000-10000 |
|
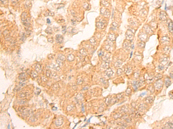
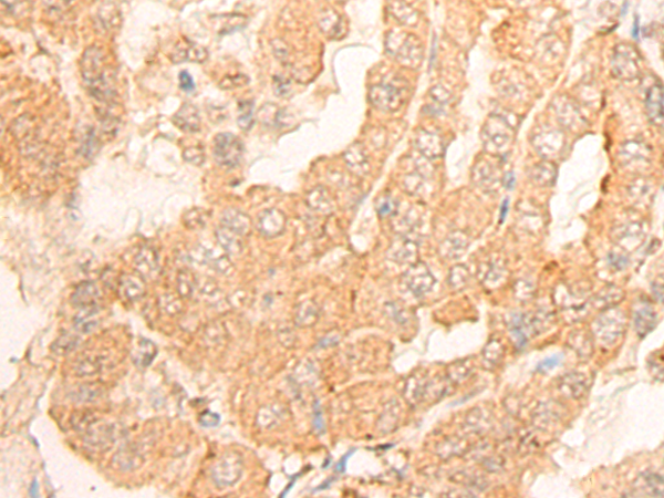
IHC Positive control: |
Human thyroid cancer; |
|
IHC Recommended dilution: |
25-100 |
購物車
幫助
021-54845833/15800441009
