|
Background: |
The protein encoded by this gene is a bifunctional enzyme and is one of the four enzymes of the peroxisomal beta-oxidation pathway. The N-terminal region of the encoded protein contains enoyl-CoA hydratase activity while the C-terminal region contains 3-hydroxyacyl-CoA dehydrogenase activity. Defects in this gene are a cause of peroxisomal disorders such as Zellweger syndrome. Two transcript variants encoding different isoforms have been found for this gene. |
|
Applications: |
ELISA, WB, IHC |
|
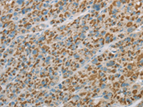
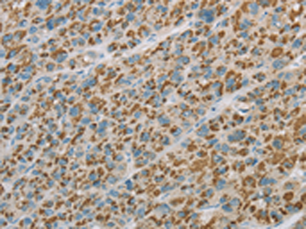
Name of antibody: |
EHHADH |
|
Immunogen: |
Fusion protein of human EHHADH |
|
Full name: |
enoyl-CoA, hydratase/3-hydroxyacyl CoA dehydrogenase |
|
Synonyms: |
LBP; ECHD; LBFP; PBFE; L-PBE |
|
SwissProt: |
Q08426 |
|
ELISA Recommended dilution: |
2000-5000 |
|
IHC positive control: |
Human liver cancer and Human thyroid cancer |
|
IHC Recommend dilution: |
50-200 |
|
WB Predicted band size: |
79 kDa |
|
WB Positive control: |
Mouse liver tissue |
|
WB Recommended dilution: |
200-1000 |

購(gòu)物車(chē)
幫助
021-54845833/15800441009
