|
Background: |
eIF4F is a multi-subunit complex, the composition of which varies with external and internal environmental conditions. It is composed of at least EIF4A, EIF4E and EIF4G1/EIF4G3. Interacts with eIF3, mutually exclusive with EIF4A1 or EIFA2, EIF4E and through its N-terminus with PAPBC1. Interacts through its C-terminus with the serine/threonine kinases MKNK1, and with MKNK2. Appears to act as a scaffold protein, holding these enzymes in place to phosphorylate EIF4E. Non-phosphorylated EIF4EBP1 competes with EIF4G1/EIF4G3 to interact with EIF4E; insulin stimulated MAP-kinase (MAPK1 and MAPK3) phosphorylation of EIF4EBP1 causes dissociation of the complex allowing EIF4G1/EIF4G3 to bind and consequent initiation of translation. EIF4G1/EIF4G3 interacts with PABPC1 to bring about circularization of the mRNA. Rapamycin can attenuate insulin stimulation mediated by FKBPs. Interacts with EIF4E3. Interacts with MIF4GD. Interacts with rotavirus A NSP3; in this interaction, NSP3 takes the place of PABPC1 thereby inducing shutoff of host protein synthesis |
|
Applications: |
WB, IHC |
|
Name of antibody: |
EIF4G1 (phospho-Ser1232) |
|
Immunogen: |
Synthetic peptide of human EIF4G1 (phospho-Ser1232) |
|
Full name: |
eukaryotic translation initiation factor 4 gamma, 1 (phospho-Ser1232) |
|
Synonyms: |
P220; EIF4F; EIF4G; EIF4GI; PARK18; EIF-4G1 |
|
SwissProt: |
G5E9S1 |
|
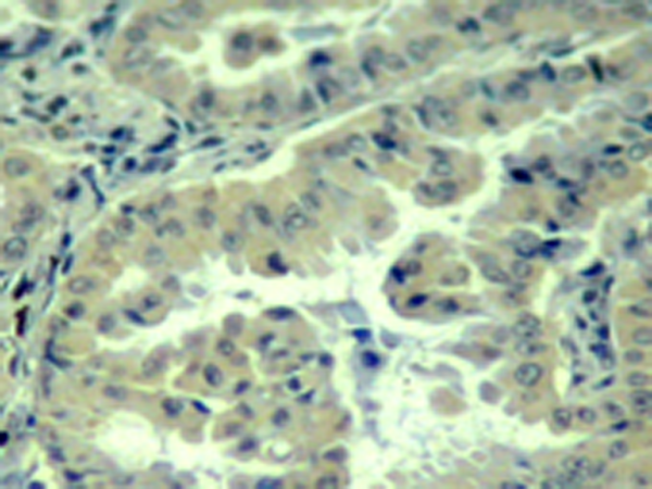
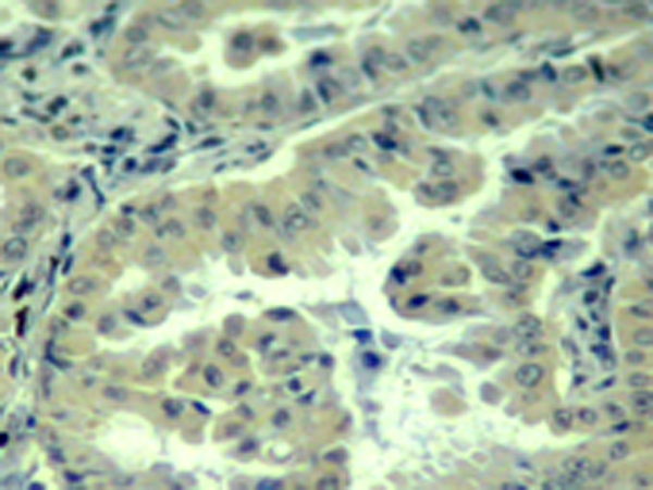
IHC positive control: |
Human lung carcinoma |
|
IHC Recommend dilution: |
50-100 |
|
WB Predicted band size: |
220 kDa |
|
WB Positive control: |
HT29 cells treated with Anisomycin |
|
WB Recommended dilution: |
500-1000 |

購物車
幫助
021-54845833/15800441009
