中文名稱(chēng):兔抗ENPP2多克隆抗體
|
Background: |
The protein encoded by this gene functions as both a phosphodiesterase, which cleaves phosphodiester bonds at the 5' end of oligonucleotides, and a phospholipase, which catalyzes production of lysophosphatidic acid (LPA) in extracellular fluids. LPA evokes growth factor-like responses including stimulation of cell proliferation and chemotaxis. This gene product stimulates the motility of tumor cells and has angiogenic properties, and its expression is upregulated in several kinds of carcinomas. The gene product is secreted and further processed to make the biologically active form. Several alternatively spliced transcript variants encoding different isoforms have been identified. |
|
Applications: |
ELISA, IHC |
|
Name of antibody: |
ENPP2 |
|
Immunogen: |
Synthetic peptide of human ENPP2 |
|
Full name: |
ectonucleotide pyrophosphatase/phosphodiesterase 2 |
|
Synonyms: |
ATX; NPP2; ATX-X; PDNP2; LysoPLD; AUTOTAXIN; PD-IALPHA |
|
SwissProt: |
Q13822 |
|
ELISA Recommended dilution: |
5000-10000 |
|
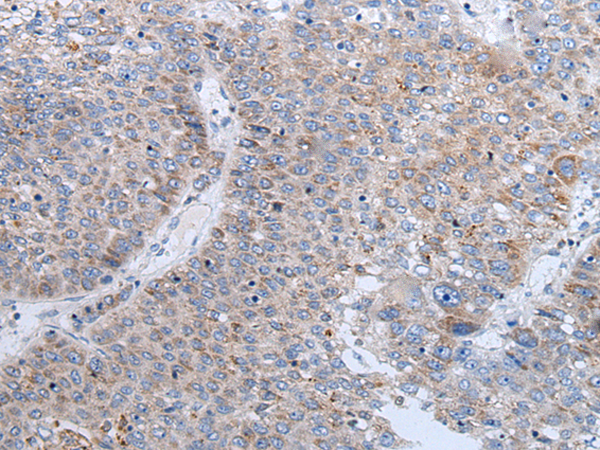
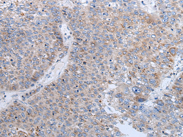
IHC positive control: |
Human liver cancer and human brain |
|
IHC Recommend dilution: |
30-150 |

購(gòu)物車(chē)
幫助
021-54845833/15800441009
