中文名稱: 兔抗UBE2J2多克隆抗體
|
Background: |
The modification of proteins with ubiquitin is an important cellular mechanism for targeting abnormal or short-lived proteins for degradation. Ubiquitination involves at least three classes of enzymes: ubiquitin-activating enzymes, or E1s, ubiquitin-conjugating enzymes, or E2s, and ubiquitin-protein ligases, or E3s. This gene encodes a member of the E2 ubiquitin-conjugating enzyme family. This enzyme is located in the membrane of the endoplasmic reticulum. Multiple alternatively spliced transcript variants have been found for this gene, but the full-length nature of some variants has not been defined. |
|
Applications: |
ELISA, IHC |
|
Name of antibody: |
UBE2J2 |
|
Immunogen: |
Fusion protein of human UBE2J2 |
|
Full name: |
ubiquitin-conjugating enzyme E2, J2 |
|
Synonyms: |
NCUBE2; NCUBE-2; PRO2121 |
|
SwissProt: |
Q8N2K1 |
|
ELISA Recommended dilution: |
5000-10000 |
|
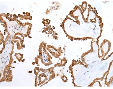
IHC positive control: |
Human thyroid cancer |
|
IHC Recommend dilution: |
25-100 |
購(gòu)物車
幫助
021-54845833/15800441009
