|
Background: |
This gene encodes an enzyme that acts in the lumen of the endoplasmic reticulum to catalyze the transfer of N-acetylglucosamine to serine or threonine residues of extracellular-targeted proteins. This enzyme modifies proteins containing eukaryotic growth factor (EGF)-like domains, including the Notch receptor, thereby regulating developmental signalling. Mutations in this gene have been observed in individuals with Adams-Oliver syndrome 4. Alternative splicing results in multiple transcript variants. |
|
Applications: |
ELISA, IHC |
|
Name of antibody: |
EOGT |
|
Immunogen: |
Synthetic peptide of human EOGT |
|
Full name: |
EGF domain specific O-linked N-acetylglucosamine transferase |
|
Synonyms: |
AOS4; AER61; EOGT1; C3orf64 |
|
SwissProt: |
Q5NDL2 |
|
ELISA Recommended dilution: |
5000-10000 |
|
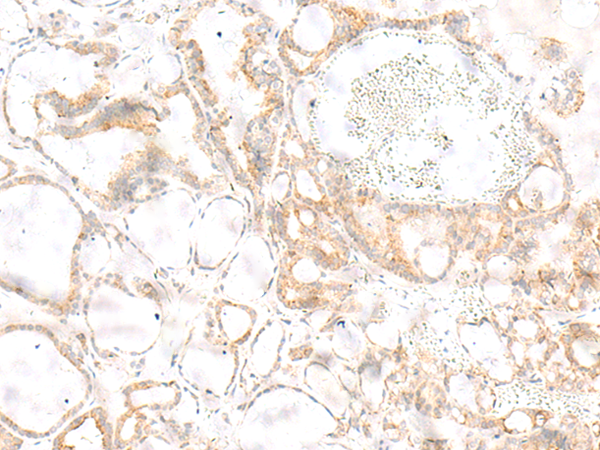
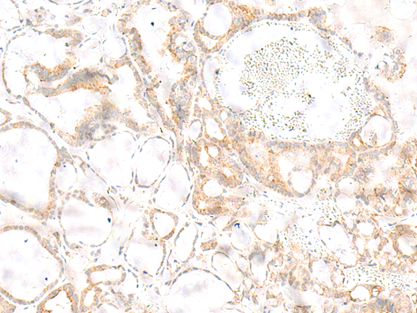
IHC positive control: |
Human thyroid cancer |
|
IHC Recommend dilution: |
10-50 |
購(gòu)物車(chē)
幫助
021-54845833/15800441009
