中文名稱:兔抗EREG多克隆抗體
|
Background: |
This gene encodes a secreted peptide hormone and member of the epidermal growth factor (EGF) family of proteins. The encoded protein is a ligand of the epidermal growth factor receptor (EGFR) and the structurally related erb-b2 receptor tyrosine kinase 4 (ERBB4). The encoded protein may be involved in a wide range of biological processes including inflammation, wound healing, oocyte maturation, and cell proliferation. Additionally, the encoded protein may promote the progression of cancers of various human tissues. |
|
Applications: |
ELISA, IHC |
|
Name of antibody: |
EREG |
|
Immunogen: |
Synthetic peptide of human EREG |
|
Full name: |
epiregulin |
|
Synonyms: |
ER; Ep; EPR |
|
SwissProt: |
O14944 |
|
ELISA Recommended dilution: |
5000-10000 |
|
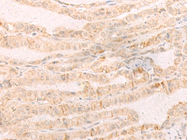
IHC positive control: |
Human thyroid cancer |
|
IHC Recommend dilution: |
30-150 |
購物車
幫助
021-54845833/15800441009
