中文名稱: 兔抗UBIAD1多克隆抗體
|
Background: |
This gene encodes a protein thought to be involved in cholesterol and phospholipid metabolism. Mutations in this gene are associated with Schnyder crystalline corneal dystrophy. |
|
Applications: |
ELISA, IHC |
|
Name of antibody: |
UBIAD1 |
|
Immunogen: |
Synthetic peptide of human UBIAD1 |
|
Full name: |
UbiA prenyltransferase domain containing 1 |
|
Synonyms: |
SCCD; TERE1 |
|
SwissProt: |
Q9Y5Z9 |
|
ELISA Recommended dilution: |
5000-10000 |
|
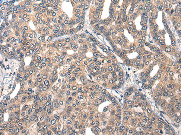
IHC positive control: |
Human liver cancer and Human ovarian cancer |
|
IHC Recommend dilution: |
30-150 |

購物車
幫助
021-54845833/15800441009
