中文名稱:兔抗ERH多克隆抗體
|
Background: |
ERH (enhancer of rudimentary homolog), also known as DROER, is a 104 amino acid transcriptional coregulator that is ubiquitously expressed and highly conserved among eukaryotes. ERH may play a role in cell cycle regulation and pyrimidine biosynthesis. ERH represses the function of the coactivator PCBD, preventing it from enhancing the activity of the tissue-specific transcription factor HNF-1 (hepatocyte nuclear factor-1). HNF-1 is a homeodomain transcription factor that binds DNA as a dimer and the HNF-1/DNA complex is stabilized by PCBD. By repressing PCBD, ERH disrupts the stability of the HNF-1/DNA complex, affecting the expression of multiple genes in the liver. The structure of ERH is characterized by a single domain consisting of three alpha-helices and four beta-strands. ERH has a long flexible loop that is significantly conserved, suggesting that this loop region may be important for the function of ERH. ERH has two casein kinase II phosphorylation sites that are thought to disrupt the ability of ERH to dimerize. |
|
Applications: |
ELISA, IHC |
|
Name of antibody: |
ERH |
|
Immunogen: |
Fusion protein of human ERH |
|
Full name: |
ERH, mRNA splicing and mitosis factor |
|
Synonyms: |
DROER |
|
SwissProt: |
P84090 |
|
ELISA Recommended dilution: |
5000-10000 |
|
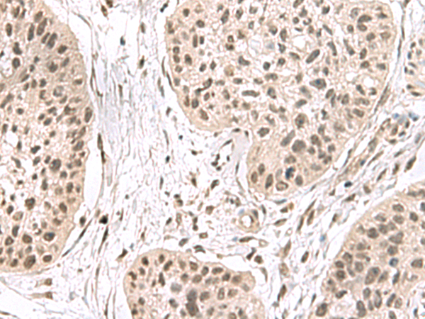
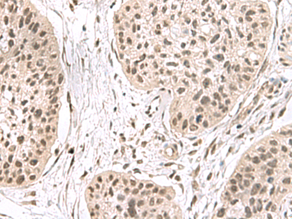
IHC positive control: |
Human esophagus cancer |
|
IHC Recommend dilution: |
40-200 |
購物車
幫助
021-54845833/15800441009
