|
Background: |
The accumulation of unfolded proteins within the endoplasmic recticulum (ER) of yeast and mammalian cells activates the unfolded protein response (UPR) pathway and leads to the transcription of ER-specific genes involved in protein folding. The activation of the UPR requires the ER transmembrane kinase IRE1p (for inositol-requiring and ER-to-nucleus signaling protein). IRE1α and IRE1β are two mammalian homologs of the yeast IRE1p. These related proteins localize to the ER lumen and contain both a short transmembrane domain that spans the ER membrane and a cytosolic Ser/Thr kinase domain. IRE1 activation involves the oligomerization and trans-phosphorylation of the cytosolic portion of the proteins, which then potentiates its intrinsic kinase activity and, in turn, stimulates transcription of UPR-targeted genes. |
|
Applications: |
ELISA, IHC |
|
Name of antibody: |
ERN2 |
|
Immunogen: |
Synthetic peptide of human ERN2 |
|
Full name: |
endoplasmic reticulum to nucleus signaling 2 |
|
Synonyms: |
IRE1b; IRE1-BETA |
|
SwissProt: |
Q76MJ5 |
|
ELISA Recommended dilution: |
2000-5000 |
|
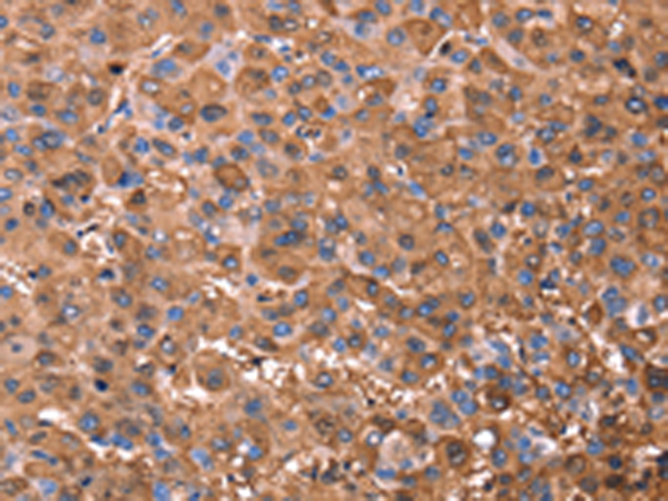
IHC positive control: |
Human liver cancer and Human gastric cancer |
|
IHC Recommend dilution: |
50-200 |
購物車
幫助
021-54845833/15800441009
