|
Background: |
Stable cohesion between sister chromatids before anaphase and their timely separation during anaphase are critical for chromosome inheritance. In vertebrates, sister chromatid cohesion is released in 2 steps via distinct mechanisms. The first step involves phosphorylation of STAG1 (MIM 604358) or STAG2 (MIM 300826) in the cohesin complex. The second step involves cleavage of the cohesin subunit SCC1 (RAD21; MIM 606462) by ESPL1, or separase, which initiates the final separation of sister chromatids (Sun et al., 2009 [PubMed 19345191]). |
|
Applications: |
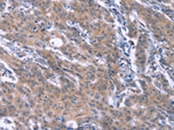
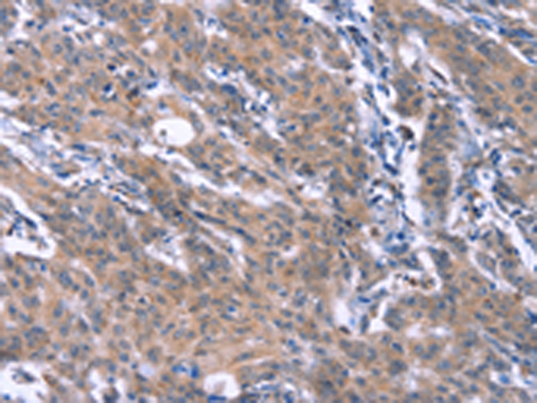
ELISA, IHC |
|
Name of antibody: |
ESPL1 |
|
Immunogen: |
Synthetic peptide of human ESPL1 |
|
Full name: |
extra spindle pole bodies like 1, separase |
|
Synonyms: |
ESP1; SEPA |
|
SwissProt: |
Q14674 |
|
ELISA Recommended dilution: |
2000-5000 |
|
IHC positive control: |
Human gasrtic cancer and Human thyroid cancer |
|
IHC Recommend dilution: |
50-200 |
購物車
幫助
021-54845833/15800441009
