|
Background: |
mRNA splicing factor that regulates the formation of epithelial cell-specific isoforms. Specifically regulates the expression of FGFR2-IIIb, an epithelial cell-specific isoform of FGFR2. Also regulates the splicing of CD44, CTNND1, ENAH, 3 transcripts that undergo changes in splicing during the epithelial-to-mesenchymal transition (EMT). Acts by directly binding specific sequences in mRNAs. Binds the GU-rich sequence motifs in the ISE/ISS-3, a cis-element regulatory region present in the mRNA of FGFR2. |
|
Applications: |
ELISA, WB, IHC |
|
Name of antibody: |
ESRP2 |
|
Immunogen: |
Synthetic peptide of human ESRP2 |
|
Full name: |
epithelial splicing regulatory protein 2 |
|
Synonyms: |
RBM35B |
|
SwissProt: |
Q9H6T0 |
|
ELISA Recommended dilution: |
5000-10000 |
|
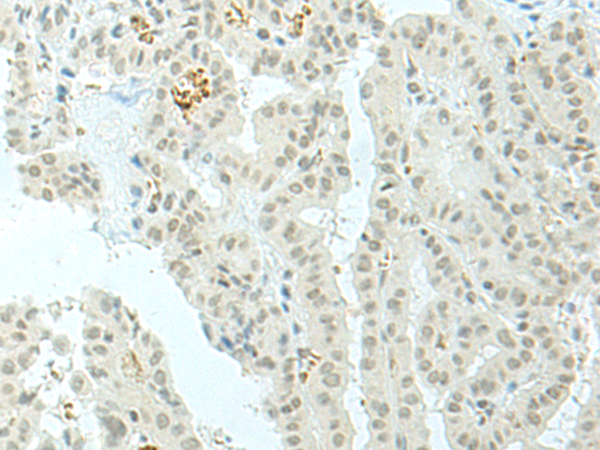
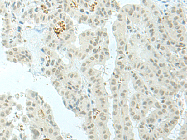
IHC positive control: |
Human lung cancer and Human thyroid cancer |
|
IHC Recommend dilution: |
30-150 |
|
WB Predicted band size: |
78 kDa |
|
WB Positive control: |
Human bladder transitional cell carcinoma grade 2-3 tissue lysate |
|
WB Recommended dilution: |
200-1000 |


購物車
幫助
021-54845833/15800441009
