|
Background: |
The protein encoded by this gene is an adaptor molecule that interacts with various cell surface receptors and mediates cell apoptotic signals. Through its C-terminal death domain, this protein can be recruited by TNFRSF6/Fas-receptor, tumor necrosis factor receptor, TNFRSF25, and TNFSF10/TRAIL-receptor, and thus it participates in the death signaling initiated by these receptors. Interaction of this protein with the receptors unmasks the N-terminal effector domain of this protein, which allows it to recruit caspase-8, and thereby activate the cysteine protease cascade. Knockout studies in mice also suggest the importance of this protein in early T cell development. [provided by RefSeq, Jul 2008] |
|
Applications: |
WB, IHC |
|
Name of antibody: |
Fadd(Phospho-Ser191) |
|
Immunogen: |
Peptide sequence around phosphorylation site of Serine191(R-S-G(p)-A-M) derived from Human FADD. |
|
Full name: |
Fas (TNFRSF6)-associated via death domain |
|
Synonyms: |
GIG3; MORT1 |
|
SwissProt: |
Q13158 |
|
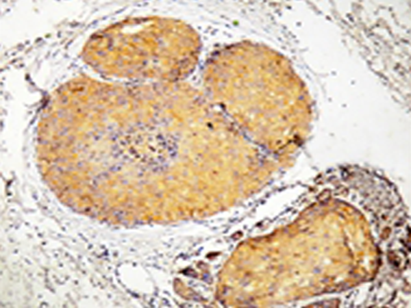
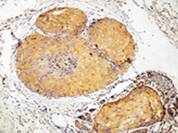
IHC positive control: |
Human breast carcinoma tissue |
|
IHC Recommend dilution: |
50-100 |
|
WB Predicted band size: |
23 kDa |
|
WB Positive control: |
Jurkat cells lysates treated with PMA |
|
WB Recommended dilution: |
500-1000 |

購物車
幫助
021-54845833/15800441009
