|
Background: |
Probable component of an E3 ubiquitin-protein ligase complex, in which it may act as a substrate recognition subunit (By similarity). May participate in antiinflammatory signaling via its interaction with PTGER4. |
|
Applications: |
ELISA, IHC |
|
Name of antibody: |
FEM1A |
|
Immunogen: |
Synthetic peptide of human FEM1A |
|
Full name: |
fem-1 homolog A |
|
Synonyms: |
EPRAP |
|
SwissProt: |
Q9BSK4 |
|
ELISA Recommended dilution: |
1000-2000 |
|
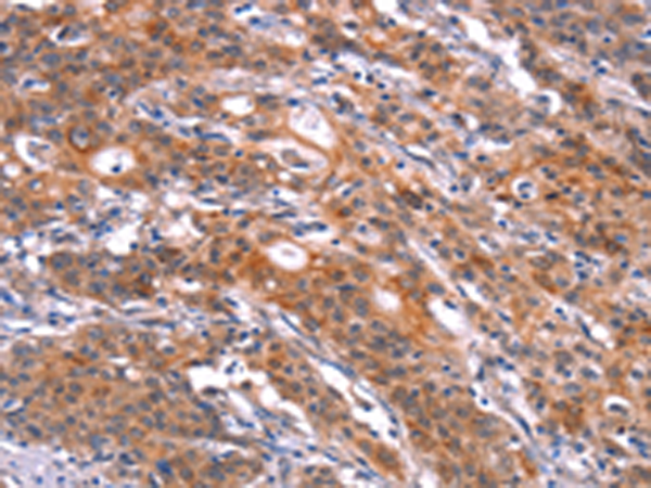
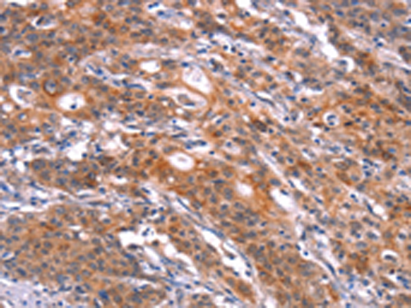
IHC positive control: |
Human gasrtic cancer and Human brain |
|
IHC Recommend dilution: |
25-100 |

購(gòu)物車
幫助
021-54845833/15800441009
