|
Background: |
The protein encoded by this gene is a tyrosine kinase and cell surface receptor for fibroblast growth factors. The encoded protein is involved in the regulation of several pathways, including cell proliferation, cell differentiation, cell migration, lipid metabolism, bile acid biosynthesis, vitamin D metabolism, glucose uptake, and phosphate homeostasis. This protein consists of an extracellular region, composed of three immunoglobulin-like domains, a single hydrophobic membrane-spanning segment, and a cytoplasmic tyrosine kinase domain. The extracellular portion interacts with fibroblast growth factors, setting in motion a cascade of downstream signals, ultimately influencing mitogenesis and differentiation. |
|
Applications: |
ELISA, IHC |
|
Name of antibody: |
FGFR4 |
|
Immunogen: |
Synthetic peptide of human FGFR4 |
|
Full name: |
fibroblast growth factor receptor 4 |
|
Synonyms: |
TKF; JTK2; CD334 |
|
SwissProt: |
P22455 |
|
ELISA Recommended dilution: |
5000-10000 |
|
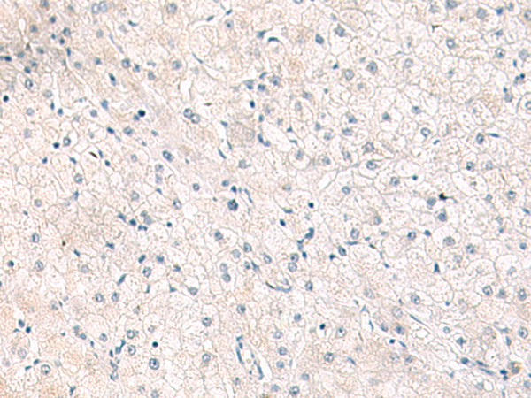
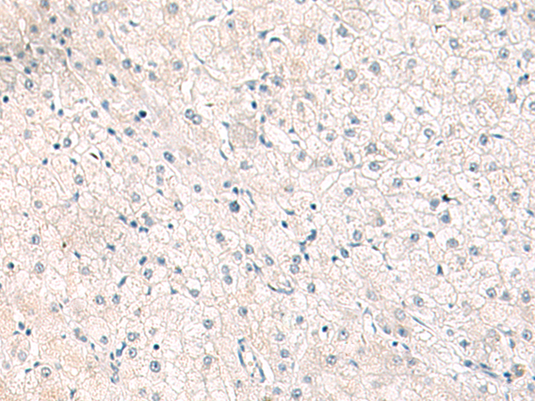
IHC positive control: |
Human liver cancer and Human brain |
|
IHC Recommend dilution: |
10-50 |

購(gòu)物車
幫助
021-54845833/15800441009
