|
Background: |
A high concentration of glucose can result in non-enzymatic oxidation of proteins by reaction of glucose and lysine residues (glycation). Proteins modified in this way are less active or functional. This gene encodes an enzyme which catalyzes the phosphorylation of psicosamines and ribulosamines compared to the neighboring gene which encodes a highly similar enzyme, fructosamine-3-kinase, which has different substrate specificity. The activity of both enzymes may result in deglycation of proteins to restore their function. Alternative splicing results in multiple transcript variants. |
|
Applications: |
ELISA, WB, IHC |
|
Name of antibody: |
FN3KRP |
|
Immunogen: |
Synthetic peptide of human FN3KRP |
|
Full name: |
fructosamine 3 kinase related protein |
|
Synonyms: |
FN3KL |
|
SwissProt: |
Q9HA64 |
|
ELISA Recommended dilution: |
5000-10000 |
|
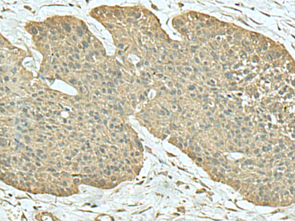
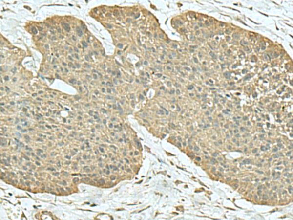
IHC positive control: |
Human esophagus cancer |
|
IHC Recommend dilution: |
50-300 |
|
WB Predicted band size: |
34 kDa |
|
WB Positive control: |
Mouse brain tissue, Human cerebrum tissue lysates |
|
WB Recommended dilution: |
500-2000 |


購(gòu)物車
幫助
021-54845833/15800441009
