Background:
The protein encoded by this gene contains a fork head DNA binding domain. This protein can bind to the purine-rich motifs of the HIV long terminal repeat (LTR), and to the similar purine-rich motif in the interleukin 2 (IL2) promoter. It may be involved in the regulation of viral and cellular promoter elements.
Applications:
ELISA, WB, IHC
Name of antibody:
FOXK2
Immunogen:
Synthetic peptide of human FOXK2
Full name:
forkhead box K2
Synonyms:
ILF; ILF1; ILF-1
SwissProt:
Q01167
ELISA Recommended dilution:
5000-10000
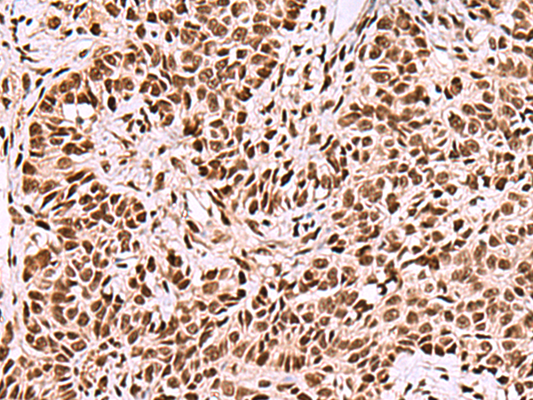
IHC positive control:
Human ovarian cancer
IHC Recommend dilution:
50-300
WB Predicted band size:
69 kDa
WB Positive control:
TM4 cell lysate
WB Recommended dilution:
1000-5000
購物車
幫助
021-54845833/15800441009
