|
Background: |
This gene encodes the K-type mitochondrial glutaminase. The encoded protein is an phosphate-activated amidohydrolase that catalyzes the hydrolysis of glutamine to glutamate and ammonia. This protein is primarily expressed in the brain and kidney plays an essential role in generating energy for metabolism, synthesizing the brain neurotransmitter glutamate and maintaining acid-base balance in the kidney. Alternate splicing results in multiple transcript variants. |
|
Applications: |
ELISA, IHC |
|
Name of antibody: |
GLS |
|
Immunogen: |
Synthetic peptide of human GLS |
|
Full name: |
glutaminase |
|
Synonyms: |
GAC; GAM; KGA; GLS1; AAD20 |
|
SwissProt: |
O94925 |
|
ELISA Recommended dilution: |
5000-10000 |
|
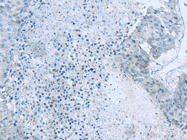
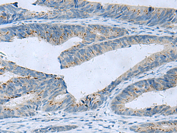
IHC positive control: |
Human liver cancer and Human colorectal cancer |
|
IHC Recommend dilution: |
50-100 |

購物車
幫助
021-54845833/15800441009
