中文名稱: 兔抗UNKL多克隆抗體
|
Background: |
This gene encodes a RING finger protein that may function in Rac signaling. It can bind to Brg/Brm-associated factor 60b and can promote its ubiquitination. Alternative splicing of this gene results in multiple transcript variants. |
|
Applications: |
ELISA, IHC |
|
Name of antibody: |
UNKL |
|
Immunogen: |
Fusion protein of human UNKL |
|
Full name: |
unkempt family like zinc finger |
|
Synonyms: |
ZC3H5L; C16orf28; ZC3HDC5L |
|
SwissProt: |
Q9H9P5 |
|
ELISA Recommended dilution: |
5000-10000 |
|
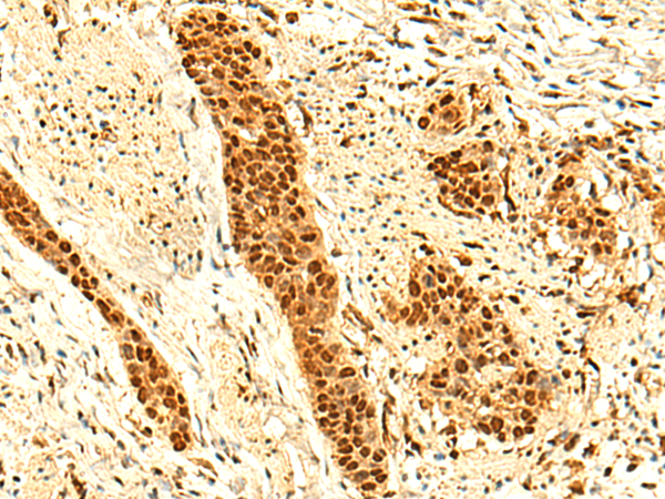
IHC positive control: |
Human tonsil and Human esophagus cancer |
|
IHC Recommend dilution: |
50-300 |

購物車
幫助
021-54845833/15800441009
