|
Background: |
Gephyrin is a microtubule-associated protein highly expressed in brain and localized to neuronal postsynaptic membranes. Gephyrin is essential for the postsynaptic localization of the inhibitory glycine receptor and is thought to anchor the receptor to subsynaptic microtubules. The protein is expressed in most mammalian tissues with predominant expression in brain. At least five additional splice variants of Gephyrin ranging in molecular weight have been identified in rat and human brain tissue. |
|
Applications: |
ELISA, IHC |
|
Name of antibody: |
GPHN |
|
Immunogen: |
Synthetic peptide of human GPHN |
|
Full name: |
gephyrin |
|
Synonyms: |
Geph |
|
SwissProt: |
Q9NQX3 |
|
ELISA Recommended dilution: |
2000-5000 |
|
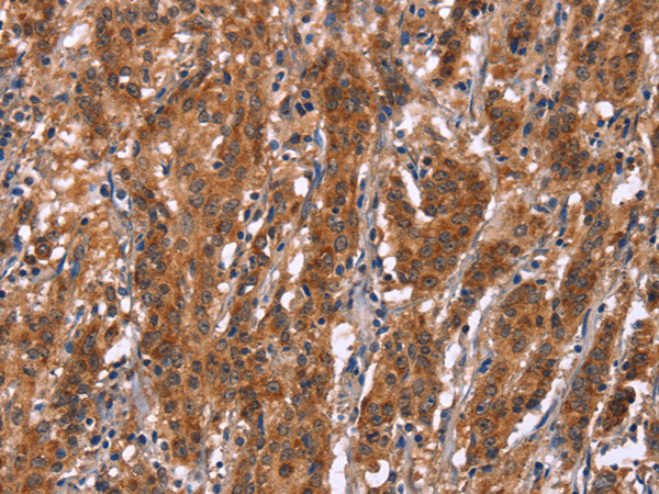
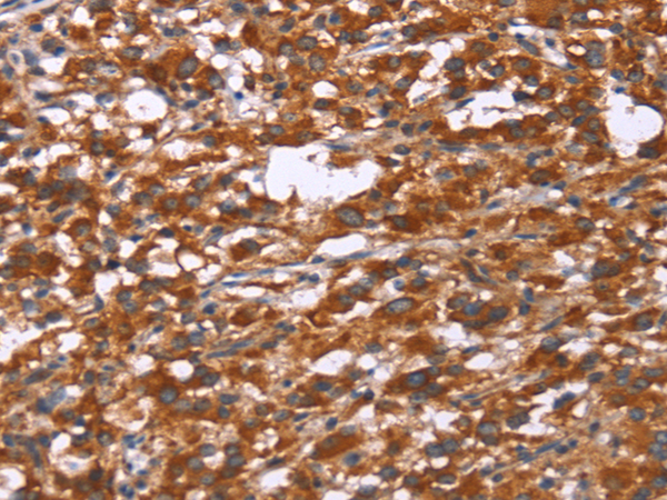
IHC positive control: |
Human thyroid cancer and Human gastric cancer |
|
IHC Recommend dilution: |
50-200 |

購(gòu)物車
幫助
021-54845833/15800441009
