Background:
This gene encodes a member of the rhodopsin subfamily of G-protein-coupled receptors that is expressed in the pancreas and gastrointestinal tract. The encoded protein is activated by lipid amides including lysophosphatidylcholine and oleoylethanolamide and may be involved in glucose homeostasis. This protein is a potential drug target in the treatment of type 2 diabetes.
Applications:
ELISA, WB, IHC
Name of antibody:
GPR119
Immunogen:
Synthetic peptide of human GPR119
Full name:
G protein-coupled receptor 119
Synonyms:
GPCR2
SwissProt:
Q8TDV5
ELISA Recommended dilution:
5000-10000
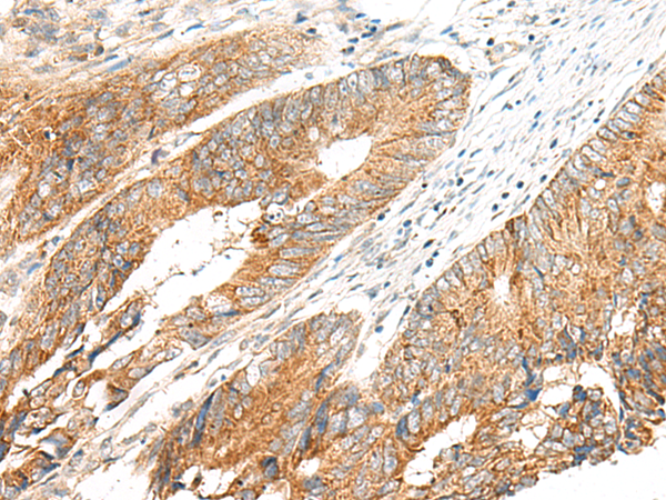
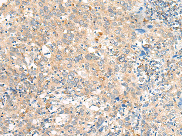
IHC positive control:
Human colorectal cancer and Human cervical cancer
IHC Recommend dilution:
50-300
WB Predicted band size:
37 kDa
WB Positive control:
K562 cell lysate
WB Recommended dilution:
200-1000



購(gòu)物車(chē)
幫助
021-54845833/15800441009
