中文名稱:兔抗USF2多克隆抗體
|
Background: |
This gene encodes a member of the basic helix-loop-helix leucine zipper family, and can function as a cellular transcription factor. The encoded protein can activate transcription through pyrimidine-rich initiator (Inr) elements and E-box motifs. Two transcript variants encoding distinct isoforms have been identified for this gene. |
|
Applications: |
WB, IHC |
|
Name of antibody: |
USF2 |
|
Immunogen: |
Synthesized peptide derived from Internal of human USF-2. |
|
Full name: |
upstream transcription factor 2, c-fos interacting |
|
Synonyms: |
FIP; bHLHb12 |
|
SwissProt: |
Q15853 |
|
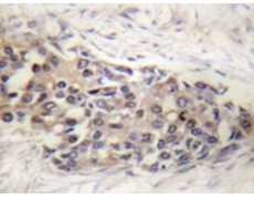
IHC positive control: |
Human breast carcinoma tissue |
|
IHC Recommend dilution: |
50-100 |
|
WB Predicted band size: |
37 kDa |
|
WB Positive control: |
Hela cells lysate |
|
WB Recommended dilution: |
500-3000 |

購物車
幫助
021-54845833/15800441009
