中文名稱: 兔抗GSK3B (Phospho-Ser9)多克隆抗體
|
Background: |
Participates in the Wnt signaling pathway. Implicated in the hormonal control of several regulatory proteins including glycogen synthase, MYB and the transcription factor JUN. Phosphorylates JUN at sites proximal to its DNA-binding domain, thereby reducing its affinity for DNA. Phosphorylates MUC1 in breast cancer cells, and decreases the interaction of MUC1 with CTNNB1/beta-catenin. Phosphorylates CTNNB1/beta-catenin. |
|
Applications: |
WB, IHC, IF |
|
Name of antibody: |
GSK3B (Phospho-Ser9) |
|
Immunogen: |
Synthetic peptide of human GSK3B (Phospho-Ser9) |
|
Full name: |
glycogen synthase kinase 3 beta (Phospho-Ser9) |
|
SwissProt: |
P49841 |
|
IHC positive control: |
Human breast carcinoma |
|
IHC Recommend dilution: |
50-100 |
|
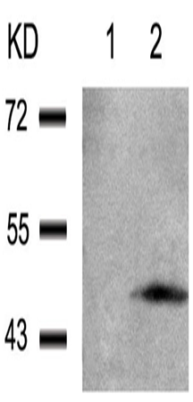
WB Predicted band size: |
46 kDa |
|
WB Positive control: |
293 cells treated with serum |
|
WB Recommended dilution: |
500-1000 |
|
IF Positive control: |
Hela cells |
|
IF Recommended dilution |
100-200 |


購物車
幫助
021-54845833/15800441009
