|
Background: |
Regulates autophagy by playing a role in the reduction of glucose production in an adiponectin- and insulin-dependent manner. |
|
Applications: |
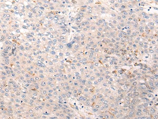
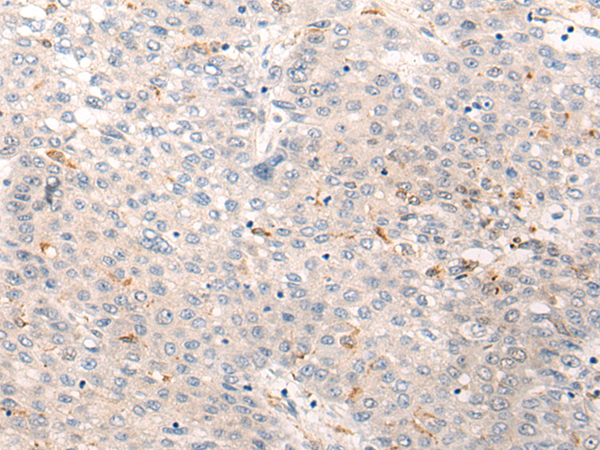
ELISA, IHC |
|
Name of antibody: |
SOGA1 |
|
Immunogen: |
Synthetic peptide of human SOGA1 |
|
Full name: |
suppressor of glucose, autophagy associated 1 |
|
Synonyms: |
SOGA; KIAA0889; C20orf117 |
|
SwissProt: |
O94964 |
|
ELISA Recommended dilution: |
5000-10000 |
|
IHC positive control: |
Human liver cancer |
|
IHC Recommend dilution: |
20-100 |
購物車
幫助
021-54845833/15800441009
