|
Background: |
The scavenger receptor cysteine-rich (SRCR) superfamily is an ancient and highly conserved group of cell surface and/or secreted proteins, some of which are involved in the development of the immune system and the regulation of both innate and adaptive immune responses. Group B SRCR domains usually contain 8 regularly spaced cysteines that give rise to a well-defined intradomain disulfide-bond pattern. |
|
Applications: |
ELISA, IHC |
|
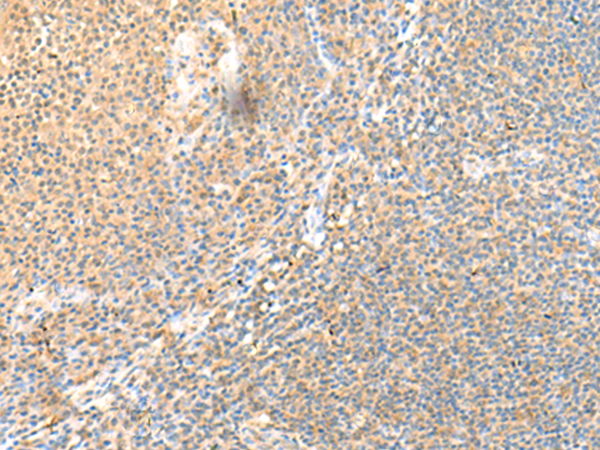
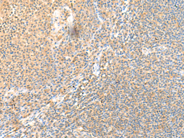
Name of antibody: |
SSC4D |
|
Immunogen: |
Fusion protein of human SSC4D |
|
Full name: |
scavenger receptor cysteine rich family member with 4 domains |
|
Synonyms: |
SRCRB4D; S4D-SRCRB; SRCRB-S4D |
|
SwissProt: |
Q8WTU2 |
|
ELISA Recommended dilution: |
5000-10000 |
|
IHC positive control: |
Human tonsil |
|
IHC Recommend dilution: |
40-200 |
購物車
幫助
021-54845833/15800441009
