|
Background: |
Many DNA-binding transcriptional activator proteins enhance the initiation rate of RNA polymerase II-mediated gene transcription by interacting functionally with the general transcription machinery bound at the basal promoter. Adaptor proteins are usually required for this activation, possibly to acetylate and destabilize nucleosomes, thereby relieving chromatin constraints at the promoter. The protein encoded by this gene is a transcriptional activator adaptor and has been found to be part of the PCAF histone acetylase complex. Several alternatively spliced transcript variants encoding different isoforms of this gene have been described, but the full-length nature of some of these variants has not been determined. |
|
Applications: |
ELISA, IHC |
|
Name of antibody: |
TADA2A |
|
Immunogen: |
Synthetic peptide of human TADA2A |
|
Full name: |
transcriptional adaptor 2A |
|
Synonyms: |
ADA2; ADA2A; KL04P; hADA2; TADA2L |
|
SwissProt: |
O75478 |
|
ELISA Recommended dilution: |
2000-5000 |
|
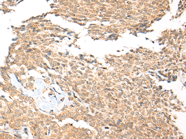
IHC positive control: |
Human cervical cancer and human ovarian cancer |
|
IHC Recommend dilution: |
25-100 |

購(gòu)物車
幫助
021-54845833/15800441009
